あなたの環境ではスクリプトが実行されていません。
永田歯科では歯をクリーニングしてからフッ素で歯を予防する治療を提供しています
〒241-0803 神奈川県横浜市旭区川井本町73
ホーム
院長紹介/メディア掲載
感染防止対策
医院案内/院内紹介
交通案内
リンク
募集情報
治療の基本的な流れ
歯周病の治療
虫歯/根管治療
入れ歯製作/修理
予防歯科
小児の治療/予防
歯科口腔外科
インプラント
審美歯科
ホワイトニング
自費治療費/医療費控除
モバイル用簡略版
〔スマホ〕
nagatasika.com/sp/
〔携帯〕
nagatasika.com/i/
予防歯科
トップページ
>
予防歯科
成人(永久歯)の予防は、虫歯だけでなく歯周病の発症や再発を防ぐことも視野に入れながらケアを行っています。
虫歯や歯周病は、プラーク(歯垢)という細菌による感染症です。
一度歯が抜けたら再生ができないため、このプラークを徹底的に除去する『
プラークコントロール
』がとても大切です。
プラークコントロールによる虫歯や歯周病の予防方法は、ご自宅での歯ブラシを使ったブラッシング(歯みがき)がポピュラーですが、そのほかにも「糸ようじ」「歯間ブラシ」「デンタルフロス」などを利用する方法もあります。
ただし、ご自身のケアでは、どうしても磨き残しが発生するため、定期的に医院でのケアを行っていただくとその効果は高くなります。
医院でプロが行う徹底した歯のクリーニングPMTC
PMTC(プロフェッショナル・メカニカル・トゥース・クリーニング)は、ご自宅での歯ブラシや歯間ブラシなどのセルフケアでは落とせない歯石やバクテリア膜(バイオフィルム)を、専用の器具できれいに落とすことです。
歯ブラシが届きにくく、みがき残しが多い場所に歯石などが溜まります。
定期的にクリーニングに通えば、歯がきれいになるだけでなく、虫歯や歯周病の早期発見にもつながります。
下記のように歯をクリーニングしていきます(順序は変わる場合もあります)。
【
染め出し→歯石取り→フッ素ケア→磨き上げ
】
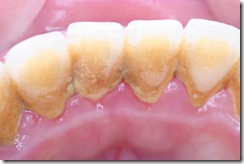
【
このような歯石や歯垢も、プロの手でしっかりと取り去ります(イメージ)
】
フッ素ケア
フッ素を配合した専用のトリートメントペーストを使用した歯面のケアを行うことで、虫歯になにりくい歯質と虫歯ができにくい環境をつくります。
フッ素は、塗るタイプやペースト状などいくつかの種類があります。
その使用法もいろいろあります。一般的には歯ブラシや綿棒を用いたフッ素塗布がよく行われています。
しかし、この方法は歯面の隅々までフッ素を行き渡らせることができないことと、フッ素を塗布した後に歯の面が一時的にザラザラになってしまうことがあります。
当院では専用のトレーを使い安全・確実な「トレー法」を採用しています。
これにより歯面に安定して確実にフッ素を作用させることができます。
Page-Top▲